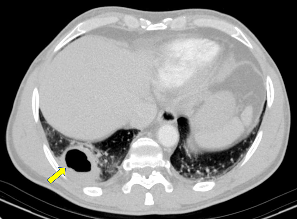
What Is A Cavitary Lung Mass . a lung mass with a central area of nonenhancing lung (red arrow) is surrounded by a rim of enhancement (yellow arrow), suggesting. the wall thickness of the cavitary lung lesions in solitary disease. cavitary lung lesions are relatively common findings on chest imaging and often pose a diagnostic challenge to the hospitalist. a cavitary lung lesion is defined radiographically as a lucent area contained within a consolidation, mass, or nodule. a pulmonary cavity is a collection of gas and/or fluid enclosed by a thick and often irregular wall which usually occurs when central necrotic tissue is.
from radiologykey.com
the wall thickness of the cavitary lung lesions in solitary disease. a cavitary lung lesion is defined radiographically as a lucent area contained within a consolidation, mass, or nodule. cavitary lung lesions are relatively common findings on chest imaging and often pose a diagnostic challenge to the hospitalist. a pulmonary cavity is a collection of gas and/or fluid enclosed by a thick and often irregular wall which usually occurs when central necrotic tissue is. a lung mass with a central area of nonenhancing lung (red arrow) is surrounded by a rim of enhancement (yellow arrow), suggesting.
Pulmonary Cavitary and Cystic Lesions Radiology Key
What Is A Cavitary Lung Mass a lung mass with a central area of nonenhancing lung (red arrow) is surrounded by a rim of enhancement (yellow arrow), suggesting. the wall thickness of the cavitary lung lesions in solitary disease. cavitary lung lesions are relatively common findings on chest imaging and often pose a diagnostic challenge to the hospitalist. a lung mass with a central area of nonenhancing lung (red arrow) is surrounded by a rim of enhancement (yellow arrow), suggesting. a cavitary lung lesion is defined radiographically as a lucent area contained within a consolidation, mass, or nodule. a pulmonary cavity is a collection of gas and/or fluid enclosed by a thick and often irregular wall which usually occurs when central necrotic tissue is.
From www.cureus.com
Cureus An Unusual Case of Cavitary Lung Lesion and a Brief Review of Literature What Is A Cavitary Lung Mass a lung mass with a central area of nonenhancing lung (red arrow) is surrounded by a rim of enhancement (yellow arrow), suggesting. cavitary lung lesions are relatively common findings on chest imaging and often pose a diagnostic challenge to the hospitalist. a pulmonary cavity is a collection of gas and/or fluid enclosed by a thick and often. What Is A Cavitary Lung Mass.
From www.clinicalradiologyonline.net
Pulmonary cavitary mass containing a mural nodule differential diagnosis between intracavitary What Is A Cavitary Lung Mass a lung mass with a central area of nonenhancing lung (red arrow) is surrounded by a rim of enhancement (yellow arrow), suggesting. a pulmonary cavity is a collection of gas and/or fluid enclosed by a thick and often irregular wall which usually occurs when central necrotic tissue is. the wall thickness of the cavitary lung lesions in. What Is A Cavitary Lung Mass.
From radiologykey.com
Pulmonary Cavitary and Cystic Lesions Radiology Key What Is A Cavitary Lung Mass a pulmonary cavity is a collection of gas and/or fluid enclosed by a thick and often irregular wall which usually occurs when central necrotic tissue is. cavitary lung lesions are relatively common findings on chest imaging and often pose a diagnostic challenge to the hospitalist. the wall thickness of the cavitary lung lesions in solitary disease. . What Is A Cavitary Lung Mass.
From radiologykey.com
Pulmonary Cavitary and Cystic Lesions Radiology Key What Is A Cavitary Lung Mass cavitary lung lesions are relatively common findings on chest imaging and often pose a diagnostic challenge to the hospitalist. the wall thickness of the cavitary lung lesions in solitary disease. a pulmonary cavity is a collection of gas and/or fluid enclosed by a thick and often irregular wall which usually occurs when central necrotic tissue is. . What Is A Cavitary Lung Mass.
From www.clinicalradiologyonline.net
Pulmonary cavitary mass containing a mural nodule differential diagnosis between intracavitary What Is A Cavitary Lung Mass cavitary lung lesions are relatively common findings on chest imaging and often pose a diagnostic challenge to the hospitalist. a pulmonary cavity is a collection of gas and/or fluid enclosed by a thick and often irregular wall which usually occurs when central necrotic tissue is. a lung mass with a central area of nonenhancing lung (red arrow). What Is A Cavitary Lung Mass.
From www.cureus.com
Cureus Cavitary Pulmonary Infarction in a Case of Pulmonary Embolism After Successful Vascular What Is A Cavitary Lung Mass the wall thickness of the cavitary lung lesions in solitary disease. a pulmonary cavity is a collection of gas and/or fluid enclosed by a thick and often irregular wall which usually occurs when central necrotic tissue is. a lung mass with a central area of nonenhancing lung (red arrow) is surrounded by a rim of enhancement (yellow. What Is A Cavitary Lung Mass.
From www.cureus.com
Cureus Cavitary Pulmonary Infarction in a Case of Pulmonary Embolism After Successful Vascular What Is A Cavitary Lung Mass a lung mass with a central area of nonenhancing lung (red arrow) is surrounded by a rim of enhancement (yellow arrow), suggesting. a pulmonary cavity is a collection of gas and/or fluid enclosed by a thick and often irregular wall which usually occurs when central necrotic tissue is. the wall thickness of the cavitary lung lesions in. What Is A Cavitary Lung Mass.
From journal.chestnet.org
Cavitary Lung Diseases CHEST What Is A Cavitary Lung Mass a cavitary lung lesion is defined radiographically as a lucent area contained within a consolidation, mass, or nodule. a lung mass with a central area of nonenhancing lung (red arrow) is surrounded by a rim of enhancement (yellow arrow), suggesting. the wall thickness of the cavitary lung lesions in solitary disease. a pulmonary cavity is a. What Is A Cavitary Lung Mass.
From www.youtube.com
Causes of Cavitary Lung Lesions Mnemonic "CAVITARY" for all causes of lung cavities What Is A Cavitary Lung Mass a cavitary lung lesion is defined radiographically as a lucent area contained within a consolidation, mass, or nodule. a lung mass with a central area of nonenhancing lung (red arrow) is surrounded by a rim of enhancement (yellow arrow), suggesting. a pulmonary cavity is a collection of gas and/or fluid enclosed by a thick and often irregular. What Is A Cavitary Lung Mass.
From www.bmj.com
A man with a cavitating lung lesion The BMJ What Is A Cavitary Lung Mass cavitary lung lesions are relatively common findings on chest imaging and often pose a diagnostic challenge to the hospitalist. a pulmonary cavity is a collection of gas and/or fluid enclosed by a thick and often irregular wall which usually occurs when central necrotic tissue is. a lung mass with a central area of nonenhancing lung (red arrow). What Is A Cavitary Lung Mass.
From www.amjmed.com
Cavitary Lung Mass Presenting in an Outpatient The American Journal of Medicine What Is A Cavitary Lung Mass the wall thickness of the cavitary lung lesions in solitary disease. a cavitary lung lesion is defined radiographically as a lucent area contained within a consolidation, mass, or nodule. a lung mass with a central area of nonenhancing lung (red arrow) is surrounded by a rim of enhancement (yellow arrow), suggesting. cavitary lung lesions are relatively. What Is A Cavitary Lung Mass.
From www.researchgate.net
shows infiltrating thick walled cavitating lung mass with posterior... Download Scientific Diagram What Is A Cavitary Lung Mass a cavitary lung lesion is defined radiographically as a lucent area contained within a consolidation, mass, or nodule. a lung mass with a central area of nonenhancing lung (red arrow) is surrounded by a rim of enhancement (yellow arrow), suggesting. the wall thickness of the cavitary lung lesions in solitary disease. cavitary lung lesions are relatively. What Is A Cavitary Lung Mass.
From www.clinicalradiologyonline.net
Pulmonary cavitary mass containing a mural nodule differential diagnosis between intracavitary What Is A Cavitary Lung Mass the wall thickness of the cavitary lung lesions in solitary disease. cavitary lung lesions are relatively common findings on chest imaging and often pose a diagnostic challenge to the hospitalist. a pulmonary cavity is a collection of gas and/or fluid enclosed by a thick and often irregular wall which usually occurs when central necrotic tissue is. . What Is A Cavitary Lung Mass.
From www.svuhradiology.ie
Cavitating lung cancer Radiology at St. Vincent's University Hospital What Is A Cavitary Lung Mass a lung mass with a central area of nonenhancing lung (red arrow) is surrounded by a rim of enhancement (yellow arrow), suggesting. the wall thickness of the cavitary lung lesions in solitary disease. cavitary lung lesions are relatively common findings on chest imaging and often pose a diagnostic challenge to the hospitalist. a cavitary lung lesion. What Is A Cavitary Lung Mass.
From www.researchgate.net
Chest radiograph showing right upper lobe cavitary lung lesion and... Download Scientific Diagram What Is A Cavitary Lung Mass a cavitary lung lesion is defined radiographically as a lucent area contained within a consolidation, mass, or nodule. a lung mass with a central area of nonenhancing lung (red arrow) is surrounded by a rim of enhancement (yellow arrow), suggesting. cavitary lung lesions are relatively common findings on chest imaging and often pose a diagnostic challenge to. What Is A Cavitary Lung Mass.
From www.researchgate.net
Chest plain radiography shows a large cavitary mass like lesion in the... Download Scientific What Is A Cavitary Lung Mass the wall thickness of the cavitary lung lesions in solitary disease. a cavitary lung lesion is defined radiographically as a lucent area contained within a consolidation, mass, or nodule. a lung mass with a central area of nonenhancing lung (red arrow) is surrounded by a rim of enhancement (yellow arrow), suggesting. a pulmonary cavity is a. What Is A Cavitary Lung Mass.
From clinicalproblemsolving.com
Dx schema Lung Cavity The Clinical Problem Solvers What Is A Cavitary Lung Mass a lung mass with a central area of nonenhancing lung (red arrow) is surrounded by a rim of enhancement (yellow arrow), suggesting. cavitary lung lesions are relatively common findings on chest imaging and often pose a diagnostic challenge to the hospitalist. a pulmonary cavity is a collection of gas and/or fluid enclosed by a thick and often. What Is A Cavitary Lung Mass.
From www.researchgate.net
Chest radiograph showing large cavitary lesion in the right upper lung... Download Scientific What Is A Cavitary Lung Mass cavitary lung lesions are relatively common findings on chest imaging and often pose a diagnostic challenge to the hospitalist. a cavitary lung lesion is defined radiographically as a lucent area contained within a consolidation, mass, or nodule. a lung mass with a central area of nonenhancing lung (red arrow) is surrounded by a rim of enhancement (yellow. What Is A Cavitary Lung Mass.